FULL MOUTH REHABILITATION AT CHINTHAMANI LASER DENTAL CLINLC
PREOPERATIVE VIEWS
UNRETRACTED FRONTAL VIEW
Patient is in removable uncomfortable denture and smile.
RETRACED FRONTAL VIEW

Multiple missing teeth and weak teeth.
POST OPERATIVE VIEWS
RETRACTED UPPER OCCLUSAL VIEW
Implants syn crystallized with titanium wire seen
RETRACTED LOWER OCCLUSAL VIEW
Healed implants site are seen
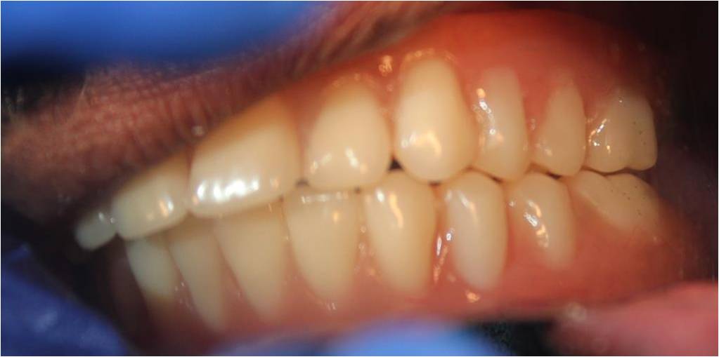
RETRACTED RIGHT LATERAL VIEW
Provisional acrylic fixed implant supported bridge.
RETRACTED LEFT LATERAL VIEW
UNRETRACTED SMILE OF HIM
He has regained his smile now.
Mail us at :
Contact us at :
+ 91 - 9283786776






No comments:
Post a Comment