FULL MOUTH REHABILITATION WITH BASAL IMPLANTS IN CHENNAI
A patient visited our dentalclinic with the complaint of multiple missing teeth with the uncomfortable removable denture.
PREOPERATIVE VIEWS
RETRACTED FRONTAL VIEW
She had removable denture.
UPPER OCCLUSAL VIEW
Multiple missing teeth and root stumps
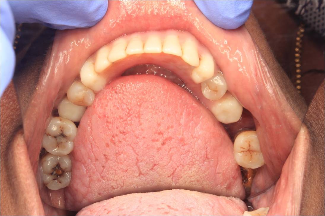
LOWER OCCLUSAL VIEW
Removable denture with missing teeth
UNRETACTED SMILE
She had the compromised smile
POST OPERATIVE VIEWS
UPPER OCCLUSAL VIEW
10 Implants had been placed
LOWER OCCLUSAL VIEW
RETRACTED FRONTAL VIEW
provisional acrylic implant supported bridge
RETRACTED RIGHT LATERAL VIEW
RETRACTED LEFT LATERAL VIEW
UNRETACTED SMILE
Her pleasing smile was back with regained functioning of her teeth.
For
further details ,
visit
us at
Mail
us at :
Contact
us at :
+91
- 9283786776.










Great post.
ReplyDeletehttps://www.couchsurfing.com/people/richard-garcia-19
Dental implants come in different sizes, heights and types. ... less-invasive techniques and are used primarily to stabilize a lower denture. All-on-4®. All-on-4 is an alternative to placing a top or bottom set of replacement teeth, called a full arch.
ReplyDeleteFull mouth dental implants in Chennai
Rajandental
the full mouth dental implant in Chennai. It is permanent and gives a more natural appearance and feel to the patient. WHY ARE DENTAL IMPLANTS USED: ... The implants are replaced in the form of high quality and long lasting bridges or dentures in the upper jaw and lower jaw.
ReplyDeleteFull mouth dental implants in Chennai
Rajandental