Pages

Friday, 19 July 2013

ESTHETIC AND THERAPEUTIC CROWN LENGTHENING USING LASER

A healthy periodontium and incisal wear with adequate tooth structure for restorations may require only restorative treatment. A sound, intact dentition with gingival hyperplasia may require only periodontal treatment. A tooth that has been damaged by caries or trauma to the extent that there is less than 3 mm of sound tooth structure coronal to the alveolar crest will require periodontal and perhaps orthodontic treatment prior to fabrication of a definitive restoration. When significant discrepancies exist in face height, lip length or lip thickness, periodontal and restorative treatment may need to be coordinated with orthognathic and/or plastic surgery procedures If the patient is unwilling or unable to obtain this additional care, then he or she must be informed that limited improvement may result from periodontal and restorative treatment. It is absolutely essential that a complete, comprehensive diagnosis be developed in order to plan treatment that will predictably produce optimal results with long-term stability. It is important to keep in mind that excessive gingival display, often referred to as the ‘‘gummy smile’’ may be the result of several factors, including gingival enlargement, altered or delayed passive eruption, insufficient clinical crown length, vertical maxillary excess and a short upper lip.
Following the formulation of a complete and accurate diagnosis, a comprehensive plan for treatment is developed. When full-coverage restorations are indicated, it is preferable to avoid placing margins subgingivally; however, in anterior areas margins frequently must be placed within the sulcus for aesthetic reasons. In order to minimize colonization of the sulcus by microorganisms associated with periodontitis, it is important to avoid overhangs and to reproduce the original contours of the tooth as closely as possible


Therapeutic crown lengthening for better crown adaptation 
              In anterior areas where aesthetic considerations are highly significant, surgical crown lengthening alone may have an unacceptable result and the use of Lasers gives the patient a comfortable, painless and bloodless experience to achieve what they want both esthetically and with therapeutic indications.

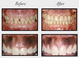
Esthetic crown lengthening

Visit us at:
http://www.chinthamanilaserdentalclinic.com/

Email us at:
dr_mrgvl@yahoo.co.in
chinthamanidental@gmail.com

contact us at:
9283786776

No comments:

Post a Comment